Άφωνοι οι γιατροί με τις πέτρες που βρήκαν στον νεφρό 20χρονης – Δεν έπινε καθόλου νερό, μόνο χυμούς και τσάι

Μπροστά σε μία μάλλον ασυνήθιστη περίπτωση βρέθηκαν οι γιατροί όταν κλήθηκαν αν εξετάσουν μία γυναίκα, η οποία παραπονιόνταν για έντονο πόνο στο κάτω μέρος της πλάτης της.
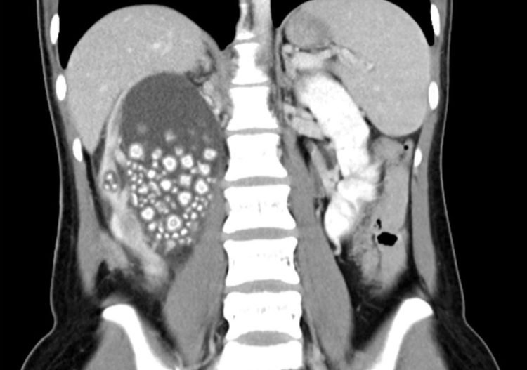
Μια 20χρονη γυναίκα από την Ταϊβάν υποβλήθηκε πρόσφατα σε χειρουργική επέμβαση για την αφαίρεση όχι λιγότερων από 300 μικρών λίθων από το δεξί της νεφρό.

Η 20χρονη εισήχθη σε νοσοκομείο της πόλης Taina, αφού παραπονέθηκε για έντονο πόνο στο κάτω μέρος της πλάτης της. Είχε επίσης πυρετό και μια εξέταση αίματος έδειξε ασυνήθιστα υψηλό αριθμό λευκών αιμοσφαιρίων. Οι γιατροί διέταξαν αξονική τομογραφία η οποία έδειξε ότι το δεξί νεφρό της Yu γεμάτο πέτρες. Αν και πρώτη ενέργειά τους ήταν να χορηγηθούν στη νεαρή γυναίκα αντιβιοτικά, στη συνέχεια προχώρησαν στην αφαίρεση των εκατοντάδων λίθων.

πηγή: Photo: Chi Mei Hospital
Στο τέλος, οι γιατροί κατέληξαν να αφαιρέσουν πάνω από 300 πέτρες, μεγέθους μεταξύ 5 και 2 εκατοστών. Η ασθενής τους ενημέρωσε ότι δεν έπινε σχεδόν καθόλου νερό και προτιμούσε τα ζαχαρούχα τσάγια και χυμούς για ενυδάτωση. Αυτό της προκάλεσε χρόνια αφυδάτωση
.
πηγή: Photo: Chi Mei Hospital
Οι γιατροί του νοσοκομείου Chi Mei στο Tainan προέτρεψαν το κοινό να πίνει άφθονο νερό για να διασφαλιστεί ότι ο οργανισμός μπορεί να επεξεργαστεί την πρόσληψη σακχάρων, αλατιού και ασβεστίου, χρησιμοποιώντας την συγκεκριμένη περίπτωση ως παράδειγμα για το τι μπορεί να συμβεί σε ακραίες περιπτώσεις αφυδάτωσης.
Πέτρα στα νεφρά | Συμπτώματα & Αντιμετώπιση
Η πέτρα στα νεφρά, κοινώς και νεφρολιθίαση, είναι μια πάθηση πολύ συχνή κατά την οποία σχηματίζονται πέτρες στο νεφρό από συσσώρευση μεταλλικών αλάτων και άλλων ουσιών που υπάρχουν φυσιολογικά στα ούρα. Ο Dr. med. Βασίλειος Ι. Γκολεζάκης, MD, PhD, Διευθυντής Κέντρου Ρομποτικής Χειρουργικής Ουρολογίας & Εστιακής Θεραπείας, Ιατρικό Κέντρο Αθηνών, είναι κορυφαίος στον τομέα της Χειρουργικής Ουρολογίας.
Τι είναι η πέτρα στα νεφρά
Η νεφρολιθίαση είναι η πάθηση κατά την οποία σχηματίζονται στερεοί κρύσταλλοι ή «πέτρες» (λίθοι) στο νεφρό ή στον ουροποιητικό σωλήνα. Ο σχηματισμός οφείλεται λόγω της συσσώρευσης μεταλλικών αλάτων και άλλων ουσιών που υπάρχουν φυσιολογικά στα ούρα. Οι λίθοι σχηματίζονται όταν τα ούρα περιέχουν υψηλά επίπεδα αυτών των ουσιών, όπως ασβέστιο, οξαλικά και ουρικό οξύ, και ταυτόχρονα δεν διαθέτουν επαρκή υγρά ή προστατευτικές πρωτεΐνες για να διατηρήσουν τη διαλυτότητά τους.
Οι νεφρικοί λίθοι διαφέρουν σε μέγεθος, από μικροσκοπικά σωματίδια μέχρι μεγάλους λίθους που μπορεί να φράξουν τον ουρητήρα ή να προκαλέσουν έντονο πόνο. Ανάλογα με τη σύνθεσή τους, διακρίνονται σε κατηγορίες, όπως είναι λίθοι ασβεστίου, λίθοι από ουρικό οξύ, λίθοι κυστίνης και οι λίθοι στρουβίτη.
Η νεφρολιθίαση προκαλεί πόνο και δυσφορία, ειδικά όταν οι λίθοι μετακινούνται μέσω του ουρητήρα ή προκαλούν απόφραξη. Παράλληλα, μπορεί να συνοδεύεται από άλλα συμπτώματα όπως αιματουρία, συχνή ανάγκη για ούρηση και ναυτία.
Πόσο συχνή είναι η νεφρολιθίαση και ποιοι επηρεάζονται περισσότερο;
Η νεφρολιθίαση επηρεάζει περίπου το 10-15% του πληθυσμού παγκοσμίως σε κάποιο σημείο της ζωής τους. Οι άνδρες εμφανίζουν μεγαλύτερη συχνότητα νεφρολιθίασης σε σχέση με τις γυναίκες, με την αναλογία να είναι περίπου 2:1. H πιθανότητα εμφάνισης αυξάνεται σημαντικά μετά την ηλικία των 30-40 ετών. Οι γυναίκες τείνουν να αναπτύσσουν λίθους στα νεφρά σε μεγαλύτερη ηλικία, ειδικά μετά την εμμηνόπαυση.

Τι προκαλεί πέτρα στα νεφρά;
Υπερασβεστιουρία: Πρόκειται για μια κατάσταση στην οποία υπάρχει υπερβολική αποβολή ασβεστίου μέσω των ούρων. Αυτό μπορεί να προκαλέσει τη δημιουργία λίθων στα νεφρά. Συχνά συνδέεται με ορμονικές διαταραχές, διατροφικές συνήθειες ή γενετικούς παράγοντες.
Ουρική οξέωση: Αυξημένα επίπεδα ουρικού οξέος στο αίμα και τα ούρα μπορούν να οδηγήσουν σε σχηματισμό λίθων από ουρικό οξύ. Συνήθως, αυτό οφείλεται σε υψηλή κατανάλωση τροφών πλούσιων σε πουρίνες (όπως κόκκινο κρέας, θαλασσινά). Επίσης, οφείλεται σε διαταραχές του μεταβολισμού, ενώ συμβαίνει πιο συχνά σε άτομα με ουρική αρθρίτιδα ή μεταβολικό σύνδρομο.
Διατροφικοί Παράγοντες: Η διατροφή παίζει σημαντικό ρόλο στη δημιουργία λίθων στα νεφρά. Κατανάλωση μεγάλων ποσοτήτων ζωικών πρωτεϊνών, ζάχαρης, αλατιού και οξαλικών, μπορεί να αυξήσει την πιθανότητα δημιουργίας λίθων.
Γενετική Προδιάθεση: Η κληρονομικότητα παίζει σημαντικό ρόλο στον κίνδυνο εμφάνισης λίθων στα νεφρά. Όσοι έχουν οικογενειακό ιστορικό με πέτρες στα νεφρά είναι πιο επιρρεπείς.
Ανεπαρκής ενυδάτωση: Η έλλειψη επαρκούς κατανάλωσης νερού αυξάνει την πυκνότητα των ουσιών στα ούρα, όπως το ασβέστιο, το οξαλικό και το ουρικό οξύ. Όταν τα ούρα είναι πιο συμπυκνωμένα, οι ουσίες αυτές τείνουν να κρυσταλλώνονται, σχηματίζοντας λίθους στα νεφρά.
Καθιστικός τρόπος ζωής: Η μειωμένη σωματική δραστηριότητα συνδέεται με αυξημένο κίνδυνο νεφρολιθίασης, καθώς μπορεί να επηρεάσει το μεταβολισμό του ασβεστίου και την οστική πυκνότητα. Τα οστά αποβάλλουν περισσότερο ασβέστιο στο αίμα, γεγονός που αυξάνει τα επίπεδα ασβεστίου στα ούρα, δημιουργώντας ευνοϊκό περιβάλλον για το σχηματισμό λίθων.
Συγκεκριμένες ιατρικές παθήσεις, όπως ο διαβήτης και η παχυσαρκία: Οι ασθενείς με διαβήτη και παχυσαρκία διατρέχουν υψηλότερο κίνδυνο για νεφρολιθίαση.
Ζεστές κλιματικές συνθήκες: Σε θερμά κλίματα, η αυξημένη εφίδρωση οδηγεί σε μεγαλύτερη απώλεια υγρών από το σώμα. Η αφυδάτωση αυξάνει τη συγκέντρωση αλάτων στα ούρα, συμβάλλοντας στη δημιουργία λίθων, ενώ η ανάγκη για ενυδάτωση καθίσταται πιο επιτακτική.

Πέτρα στα νεφρά: Συμπτώματα
Έντονος πόνος στη μέση, στην κάτω πλευρά ή στην κοιλιά: Ο πόνος από μια πέτρα στα νεφρά, γνωστός και ως κολικός του νεφρού, είναι χαρακτηριστικά έντονος. Μπορεί να ξεκινά από τη μέση και να εκτείνεται προς την κάτω κοιλιακή χώρα ή την πλευρά, καθώς ο λίθος κινείται μέσα στον ουρητήρα. Ο πόνος μπορεί να συνοδεύεται από αίσθηση καψίματος και δυσφορία. Συχνά γίνεται ανυπόφορος, καθώς ο λίθος εμποδίζει τη φυσιολογική ροή των ούρων.
Αιματουρία (αίμα στα ούρα): Η παρουσία αίματος στα ούρα είναι συχνό σύμπτωμα και οφείλεται στον τραυματισμό του ουροποιητικού συστήματος. Καθώς ο λίθος κινείται, γρατζουνά την εσωτερική επιφάνεια του ουρητήρα ή της ουροδόχου κύστης. Το αίμα στα ούρα μπορεί να είναι εμφανές (μακροσκοπική αιματουρία) ή να ανιχνεύεται μόνο με μικροσκόπιο (μικροσκοπική αιματουρία).
Συχνή ανάγκη για ούρηση με μικρές ποσότητες ούρων: Οι λίθοι στην ουροδόχο κύστη συχνά προκαλούν αυξημένη αίσθηση ανάγκης για ούρηση, με την έξοδο όμως μικρών ποσοτήτων ούρων. Αυτό συμβαίνει καθώς ο λίθος προκαλεί ερεθισμό της ουροδόχου κύστης ή του ουρητήρα, με αποτέλεσμα το άτομο να νιώθει συχνά την ανάγκη για κένωση, ακόμη και όταν η κύστη δεν είναι γεμάτη.
Ναυτία και εμετός, ειδικά όταν ο λίθος είναι μεγάλος ή μετακινείται: Η παρουσία και η κίνηση του λίθου στο ουροποιητικό μπορεί να προκαλέσει ερεθισμό των νευρικών υποδοχέων και να διεγείρει το κέντρο της ναυτίας και του εμετού στον εγκέφαλο. Αυτό το αντανακλαστικό είναι ιδιαίτερα συχνό όταν ο λίθος μπλοκάρει την ουροποιητική οδό ή πιέζει τους νεφρούς. Το γεγονός αυτό μπορεί να οδηγήσει σε ναυτία και εμετό, συνήθως σε πιο σοβαρές περιπτώσεις.
Διάγνωση
Ακτινογραφία/Υπέρηχος: Αυτές οι απεικονιστικές μέθοδοι βοηθούν στον εντοπισμό των λίθων στα νεφρά ή στον ουροποιητικό σωλήνα, με τον υπέρηχο να παρέχει μια ασφαλή επιλογή χωρίς ακτινοβολία, ενώ η ακτινογραφία μπορεί να εντοπίσει λιθίαση σε συγκεκριμένα μέρη του ουροποιητικού συστήματος.
Ανάλυση Ούρων και Αίματος: Η εξέταση αυτών των δειγμάτων μπορεί να αποκαλύψει αυξημένα επίπεδα ασβεστίου, ουρικού οξέος ή άλλων ουσιών που ευνοούν τον σχηματισμό λίθων, παρέχοντας πολύτιμες πληροφορίες για τα αίτια και τον τύπο της λιθίασης.
CT Σάρωση: Η αξονική τομογραφία προσφέρει λεπτομερέστερη εικόνα για το ακριβές μέγεθος, την τοποθεσία και τη σύσταση των λίθων, επιτρέποντας έτσι πιο στοχευμένη διάγνωση και αποτελεσματικό σχεδιασμό θεραπείας.
Αντιμετώπιση
Για την αντιμετώπιση της πέτρας στα νεφρά (λιθίαση ουροποιητικού) ιδανικές θεραπευτικές επιλογές ανάλογα με τις ανάγκες του κάθε ασθενούς είναι οι ακόλουθες :
Συντηρητική Αντιμετώπιση
Περιλαμβάνει την αύξηση της πρόσληψης υγρών, κυρίως νερού, προκειμένου να διευκολυνθεί η διάλυση και η αποβολή μικρών λίθων από το ουροποιητικό σύστημα. Παράλληλα χορηγούνται παυσίπονα για την ανακούφιση του πόνου που μπορεί να προκύψει κατά τη διάρκεια της διαδικασίας.
Λιθοτριψία
Η λιθοτριψία είναι μια ελάχιστα επεμβατική διαδικασία που αξιοποιεί υπερήχους ή λέιζερ για να σπάσει μεγαλύτερους λίθους σε μικρότερα κομμάτια. Έτσι διευκολύνεται η αποβολή τους μέσω του ουροποιητικού συστήματος και μειώνονται οι πιθανότητες επιπλοκών.
Χειρουργική Αφαίρεση
Η χειρουργική αφαίρεση, όπως η διαδερμική νεφρολιθοτριψία ή η ουρητηροσκόπηση. Είναι απαραίτητη σε περιπτώσεις όπου οι λίθοι είναι πολύ μεγάλοι ή σε δύσκολες θέσεις για να αποβληθούν φυσικά. Περιλαμβάνει την άμεση αφαίρεση ή θρυμματισμό τους μέσω ενδοσκοπικών μεθόδων, προσφέροντας έτσι οριστική λύση στο πρόβλημα.
Εξωσωματική λιθοτριψία
Κατά την εξωσωματική λιθοτριψία, χρησιμοποιούνται υπέρηχοι ή ακτινοσκόπηση για τον εντοπισμό και τη θραύση του λίθου μέσω ωστικών κυμάτων, αποτελώντας μια ελάχιστα επεμβατική διαδικασία.
Νεφρολιθοτριψία με εύκαμπτο ουρητηροσκόπιο
Η μέθοδος αυτή περιλαμβάνει τη χρήση ενός λεπτού ενδοσκοπίου για την αφαίρεση ή θραύση λίθων στον νεφρό, προσφέροντας εξαιρετικά ποσοστά επιτυχίας σε σύγκριση με την εξωσωματική λιθοτριψία.
Η σελίδα αποποιείται κάθε ευθύνη από τις αναδημοσιεύσεις άρθρων τρίτων ιστοσελίδων, για τα οποία (άρθρα) την ευθύνη την έχει ο υπογράφων ως πηγή.
